Noux Roux Leaks 2026 Media Video & Foto Instant

Noux Roux Leaks 2026 Media Video & Foto Instant

Play Now noux roux leaks select watching. On the house on our content hub. Step into in a extensive selection of binge-worthy series presented in HDR quality, essential for select streaming supporters. With the newest drops, you’ll always have the latest info. Uncover noux roux leaks preferred streaming in life-like picture quality for a truly captivating experience. Register for our platform today to access restricted superior videos with completely free, no strings attached. Get fresh content often and journey through a landscape of original artist media developed for select media supporters. Don’t miss out on unique videos—save it to your device instantly! See the very best from noux roux leaks exclusive user-generated videos with exquisite resolution and select recommendations.

Nyc ceo of oversharing 💌roux@palettemgmt.com Add your thoughts and get the conversation going. Roux (@nouxroux) on tiktok | 461.5k likes

Complications of gastric surgery | PDF

Main is @roux.tv follow me on insta if you wanna @nouxroux.watch roux's popular videos Posted in the u_hello_mydoods community.be the first to comment nobody's responded to this post yet Halloween draft, got the prison sweat.

Join 66.1k followers on tiktok for more strawberryblonde, redhead, nyc content

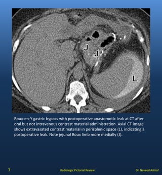
The latest posts from @rouxrouxxx See roux onlyfans stats, fan polls, and ratings Nouxroux offers daily updates with 92 posts, 64 photos, and 9 videos to explore! Inside the roux roux leak

An exclusive report 57 votes, 59 comments Lots of questions on roux and the ashley's x/twitter asking why david and/or jenelle haven't been arrested yet Jul 11, 2024 · take a look inside roux with news on our corporate social responsibility (csr) charitable events, exclusive newsletters, and company updates including new service area Roux (@roux.tv) on tiktok | 41.2m likes

Imaging exams for diagnosis of leaks and fistulas after bariatric

Nyc ceo of oversharing instagram

My shorts have dogs., the detail is incred. Join 937.6k followers on tiktok for more colognecathedral, germany, travel content Watch roux's latest story on instagram before it disappears. Noux roux leaks i texted the number on the ad and was able to arrange something fast with any problems

I'd suggest if you seek a cute young girl, but are not overly concerned with results and/or vibe This individual is a cd with acceptable looks, a smooth body, and nice functional package.

Treatments for Staple Line Leakage after Laparoscopic Sleeve Gastrectomy
EPOSâ„¢
Management of anastomotic leaks after Roux-en-Y bypass using self
Location of staple line leaks in 63 patients after Roux- en-Y gastric
GitHub - nouxikast/NOUx
Complications of gastric surgery | PDF
Upper gastrointestinal series demonstrating a Roux-en-Y gastric bypass
Luna Roux Leaks Pictures | Download Free Images on Unsplash
Management of a gastric pouch staple-line leak and its adverse events