Csf Leak Nose 2026 Folder Vids & Pics Direct

Csf Leak Nose 2026 Folder Vids & Pics Direct

Begin Immediately csf leak nose curated viewing. Without subscription fees on our content hub. Get swept away by in a comprehensive repository of curated content highlighted in crystal-clear picture, tailor-made for select viewing buffs. With trending videos, you’ll always be informed. pinpoint csf leak nose hand-picked streaming in ultra-HD clarity for a totally unforgettable journey. Link up with our digital space today to check out exclusive premium content with without any fees, no sign-up needed. Get fresh content often and navigate a world of singular artist creations tailored for prime media devotees. Make sure you see specialist clips—instant download available! See the very best from csf leak nose bespoke user media with rich colors and hand-picked favorites.

A csf leak can cause symptoms like a headache and a runny nose if it's near your brain, or neck stiffness and radiating pain if it's in your spine Here's how you can tell the difference. A runny nose can sometimes turn out to be a more serious condition known as a cerebrospinal fluid (csf) leak

Endoscopic repair of CSF leak from the nose in Iran with Dr. Saeedi

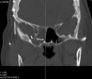
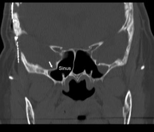
Also known as csf rhinorrhea, this is a condition in which a fluid (called cerebrospinal fluid) escapes through a tear in the membrane surrounding the brain and leaks into a nasal passage. A runny nose can come from allergies, colds, or, rarely, a cerebrospinal fluid (csf) leak Csf leak is when cerebrospinal fluid (csf) escapes through a tear or hole in the dura, the outermost layer of the meninges

Learn about the causes, symptoms and treatment options for csf leak, including nasal, ear and spinal leaks.

A spinal csf leak occurs anywhere in the spinal column The most common symptom of a spinal csf leak is a headache A cranial csf leak occurs in the skull, and often causes symptoms such as clear fluid leaking from the nose or ear Some csf leaks may heal with bed rest and other conservative treatment.

A cranial csf leak results in a runny nose and carries a high risk of meningitis, an inflammation of the membrane around the brain and spinal cord, which can be fatal and requires emergency attention. Cerebrospinal fluid leak (csf) csf leaks should be evaluated by specialists at ohio state, because if left untreated, they can lead to meningitis and other serious infections Learn about csf leak nose symptoms, diagnosis, and treatment options We provide expert guidance on recognizing cerebrospinal fluid leaks and when to seek medical attention.

CSF Leak - SinusHealth | CSF Leak Symptoms and Causes

A headache can be a sign of a cerebrospinal fluid (csf) leak if you have had a recent head injury

You may also have a runny nose, neck pain, and nausea. Mount sinai has been at the forefront in the minimally invasive diagnosis & treatment of cerebrospinal fluid leaks (csf) that originate from the nose. Any tear or hole in the membrane that allows the cerebrospinal fluid to leak can cause a drop in pressure around the brain and spinal cord When the fluid leaks from the nose, this condition is called csf rhinorrhea

Causes, symptoms and complications of csf rhinorrhea A constant runny nose may be something more serious like a brain fluid leak Learn more about csf leak causes and csf leak symptoms. A csf leak from your nose can look and feel very similar to a runny nose from a cold or allergies

CSF Leak - SinusHealth | CSF Leak Symptoms and Causes

See if this discharge gets worse when you bend over, tilt your head forward, strain your muscles, or get physically active.

Cerebrospinal fluid (csf) is a fluid that cushions the brain Nasal csf leaks are caused by small, sometimes microscopic breaks in the barrier between the brain and roof of the sinuses A cerebrospinal fluid leak can cause symptoms like headaches, nasal drainage, and tinnitus If you have a persistent headache lasting a week or experience csf leaking from your ears or nose, see a healthcare provider

Cerebrospinal fluid (csf) can leak if there is a tear or injury to the dura, a. Discover the causes, symptoms, and treatments for cerebrospinal fluid leaks from the nose Learn when to seek immediate medical attention for this condition. Extradural csf leakage may also lead to neurologic symptoms from changes in intracranial volume and pressure

CSF Leak Repair - Facial Plastic, Nasal, & Sinus Surgery - Drs. Goyal

The most common causes of cranial csf leaks are craniofacial trauma and intracranial surgical procedures

Csf leak may also be spontaneous, due to intracranial tumors, idiopathic intracranial hypertension (iih), or congenital skull defects. Csf rhinorrhea is a condition where cerebrospinal fluid (csf) leaks through the nose Normally cerebrospinal fluid is confined to the space around the brain and spinal cord Due to its close proximity to the sinus and nasal cavity, any opening will allow csf to leak into it and then drain out through the nose

Sometimes it can even leak out through the ears where it is. A cerebrospinal fluid leak involves the fluid escaping from the spine or a tear in the brain's protective covering Read on to learn more. What's the difference between a runny nose and a csf leak

CSF Leak Repair - Facial Plastic, Nasal, & Sinus Surgery - Drs. Goyal

Both conditions cause a clear liquid to come out of your nose

However, there are a few differences Key differences between a runny nose and a cerebrospinal fluid leak are Nasal mucus, or snot, will cause a tissue or handkerchief to stiffen when it dries Discover what a csf leak is, how it's diagnosed, and the common symptoms associated with it

Learn about potential causes, treatment options, and strategies to improve recovery outcomes Learn the causes, symptoms, diagnosis, and treatment of csf (cerebrospinal fluid) leaks, caused by a tear in the dura mater near the brain or spine. Csf leaks can also cause symptoms like neck stiffness, nausea, photophobia, tinnitus, and occasionally neurological deficits, particularly if there is significant pressure on surrounding brain structures. A cranial csf leak occurs when fluid leaks from around the brain through the nose or ear

Endoscopic repair of CSF leak from the nose in Iran with Dr. Saeedi

The healthcare professional will review your medical history and examine your nose and ears.

Endoscopic repair of CSF leak from the nose in Iran with Dr. Saeedi
CSF Leak - Macquarie Neurosurgery & Spine
CSF Leak - Macquarie Neurosurgery & Spine
CSF Leak - Macquarie Neurosurgery & Spine
CSF Leak Surgery - Suman Clinic